Risk of prostate can:cer increased by 45% in men who shared one common practice

According to the American Cancer Society, 1 in 8 men will be diagnosed with prostate cancer at some point in their lives. It’s now the second leading cause...

In the event of a heart at.tack, you only have seconds to save your life. What should you do?

When it comes to a heart attack, time is critical. While these situations may not be common, knowing how to respond can truly make a difference. And beyond...

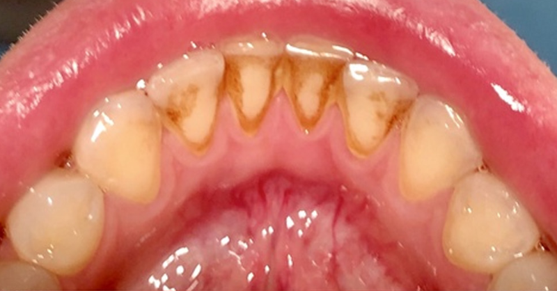
Home remedies to remove tartar from teeth

Tartar, that pesky buildup, clings to our teeth despite our daily brushing efforts. It forms when plaque — an invisible film of bacteria — hardens due to the...

How Your Sleeping Position Affects Your Health

Every night, we crawl into bed hoping for a good, restorative sleep. On your back, on your side, curled up, or face-down—everyone has their favorite position. But have...

Use aloe vera gel before sleeping & you’ll be in awe at what happens

In the realm of natural skincare, aloe vera remains a trusted go-to. Celebrated for its calming and healing effects, this resilient succulent has been used across cultures for...

Why shouldn’t women wear bras all the time?

  We put on our bras almost without thinking each morning — sometimes out of routine, sometimes with frustration. They might feel too tight, too visible, or just...

7 reasons to eat avocado

Confess it — you’ve probably fallen for the creamy goodness of avocado. Whether it’s mashed into guacamole, sliced onto your power bowl, or blended into your morning smoothie,...

Ginger: A Natural Secret for Youthful Skin!

Did you know that ginger—yes, the same spice in your kitchen—can be a game-changer when it comes to achieving glowing, youthful skin? This age-old natural ingredient, celebrated in...

Instantly removes nail fungus like an eraser! The best natural remedy! 100 efficiency

Among natural remedies, garlic stands out for its incredible healing abilities—especially when it comes to fighting nail fungus. This everyday kitchen staple, known for its strong antifungal and...

6 Vitamins to Unclog Your Arteries

Atherosclerosis is a condition where the inner walls of your arteries become damaged and clogged with a hardened substance known as plaque. This buildup narrows the arteries and...